Ayak bileği röntgen yorumlama

Leaused

80+
Katılım
14 Nisan 2021
Mesajlar
30
Reaksiyon skoru
4
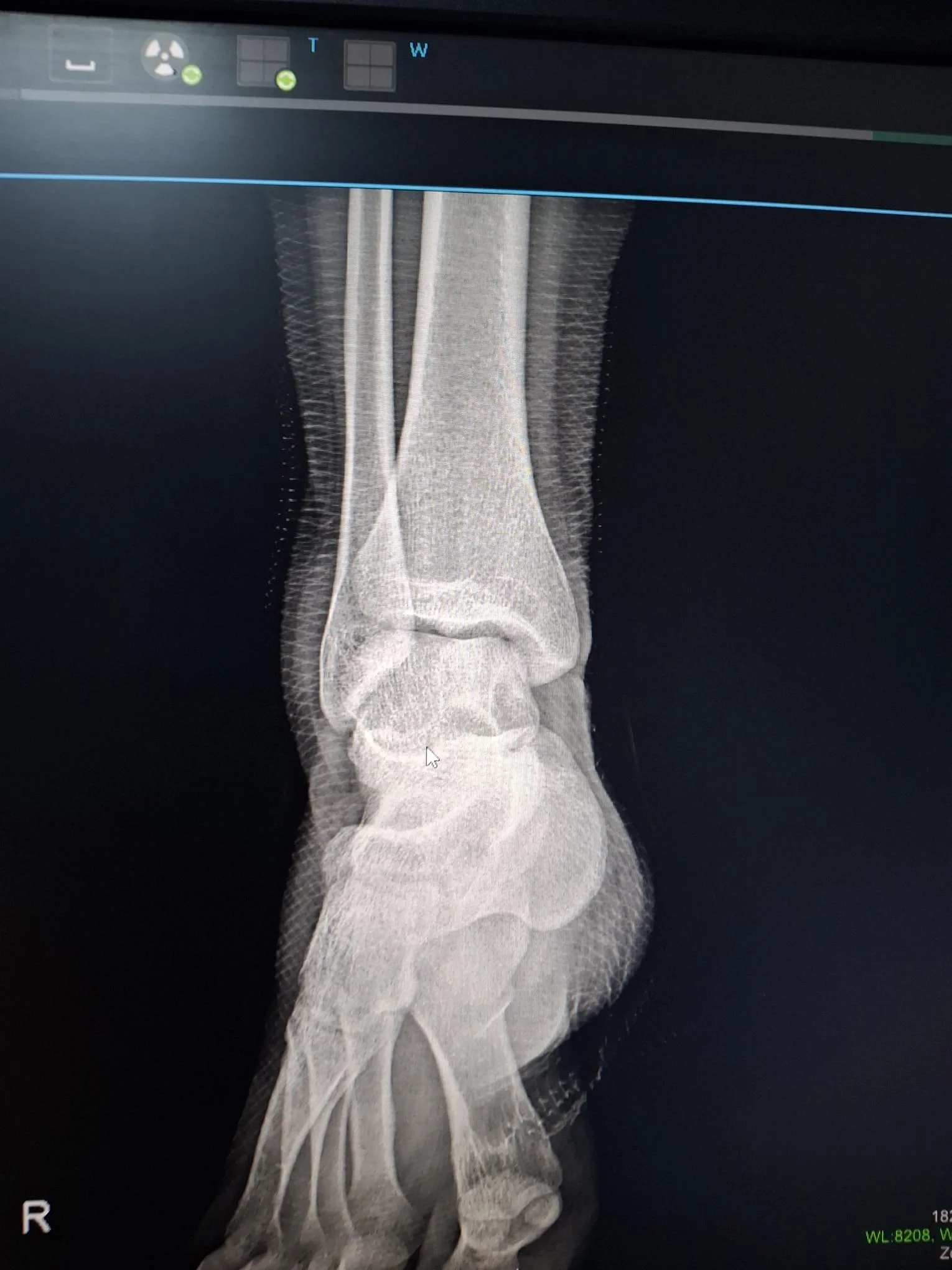
merdivenden düştüm ve bileğimi burktum ortopedi okuyan veya tıp okuyan arkadaşlar röntgeni yorumlayabilir mi kırık çıkık var mı
 

Ekler

  • dddddd.webp
    dddddd.webp
    146.6 KB · Hit: 108
  • Başlıksız.webp
    Başlıksız.webp
    419.6 KB · Hit: 147
merdivenden düştüm ve bileğimi burktum ortopedi okuyan veya tıp okuyan arkadaşlar röntgeni yorumlayabilir mi kırık çıkık var mı
Hocam tipla falan alakam yok basliktaki ayak ilgimi cekti ayaklariniz 41 numara mi nacizane tahminim bu yonde
 
merdivenden düştüm ve bileğimi burktum ortopedi okuyan veya tıp okuyan arkadaşlar röntgeni yorumlayabilir mi kırık çıkık var mı
kırık yada çıkık yok eğer ağrı sızı varsa büyük ihtimalle doku zedelenmesi vardır
 
konuyla çok bi alakası yok ama, şimdi röntgene bakınca bi düşündüm, ayağı kırılan insanların tek tedavileri ameliyat herhalde, yani o kadar kemik arasından doğru kemiği doğru yere oturtup alçıya alamayacaklarına göre bence ameliyattır, veya başka bir çözümü var mı
 
Geri
Top