*Oturamıyorum* Kaza yaptım.

siyabent

80+ Silver
Katılım
3 Eylül 2024
Mesajlar
3,500
Reaksiyon skoru
1,314
31 temmuzda kaza yaptım
Motordayken araba vurması sonucu motordan uçup direkt olarak 100kg ola vücut ağırlığımla tahmini 100-105 derecelik geniş bi açıyla omurga hizasında yere çakıldım, ilk an kuyruk sokumumdan boynuma kadar uzanan ağrının şiddetiyle bağırmamdan ötürü sesimin kısılmasına giden bi ağrıyla belden aşağısını o anlık bi hissetmez gibi oldum, ortalama 3-5dakika sonra ayağa kalkabildim. Hastaneye gittim röntgen çekildi hiçbirşey yok denilip gönderildi
Ağrı şiddeti arttığı için tekrar beyin ve sinir cerrahına randevu alıp gittim, mr çekildi kuyruk sokumunun kemer altı kalan en uç noktasında tam görünmeyen ufak bir kırık,çatlak olduğu dıştan müdahale yapılamayacağı söylenip vitamin takviyesi verildi.

3ay aradan sonra halen 10-15dakikadan fazla oturamadığım ve ağrı çektiğim için randevu aldım(doktor2 ay içinde geçmezse gel demişti)
Gittim farklı bir doktora gitmem gerekti, o da beni artık biz bakamayız ortopediye git şeklinde yönlendirdi, ortopediye gittim ve muayene dahi etmeden ağrı olabilir diyerek 3 ay sonra gel dedi,

Dostlar tam kemerin altında kıçın ayrım noktasının orda bi gıcırtı var. Hareket ederken gırç gırç ediyor hava boşluğu gibi değişik bir hissi var ve tam o kısmı kaşırken sanki başkasının kıçını kaşıyor gibi hissediyorum %40-50ye kadar his kaybı da var maxxxxx en rahat koltukta 30dk sabit oturabilirl üstü gelmiyor.
Sizce farklı bir doktora görüneyim mi?
 
31 temmuzda kaza yaptım
Motordayken araba vurması sonucu motordan uçup direkt olarak 100kg ola vücut ağırlığımla tahmini 100-105 derecelik geniş bi açıyla omurga hizasında yere çakıldım, ilk an kuyruk sokumumdan boynuma kadar uzanan ağrının şiddetiyle bağırmamdan ötürü sesimin kısılmasına giden bi ağrıyla belden aşağısını o anlık bi hissetmez gibi oldum, ortalama 3-5dakika sonra ayağa kalkabildim. Hastaneye gittim röntgen çekildi hiçbirşey yok denilip gönderildi
Ağrı şiddeti arttığı için tekrar beyin ve sinir cerrahına randevu alıp gittim, mr çekildi kuyruk sokumunun kemer altı kalan en uç noktasında tam görünmeyen ufak bir kırık,çatlak olduğu dıştan müdahale yapılamayacağı söylenip vitamin takviyesi verildi.

3ay aradan sonra halen 10-15dakikadan fazla oturamadığım ve ağrı çektiğim için randevu aldım(doktor2 ay içinde geçmezse gel demişti)
Gittim farklı bir doktora gitmem gerekti, o da beni artık biz bakamayız ortopediye git şeklinde yönlendirdi, ortopediye gittim ve muayene dahi etmeden ağrı olabilir diyerek 3 ay sonra gel dedi,

Dostlar tam kemerin altında kıçın ayrım noktasının orda bi gıcırtı var. Hareket ederken gırç gırç ediyor hava boşluğu gibi değişik bir hissi var ve tam o kısmı kaşırken sanki başkasının kıçını kaşıyor gibi hissediyorum %40-50ye kadar his kaybı da var maxxxxx en rahat koltukta 30dk sabit oturabilirl üstü gelmiyor.
Sizce farklı bir doktora görüneyim mi?
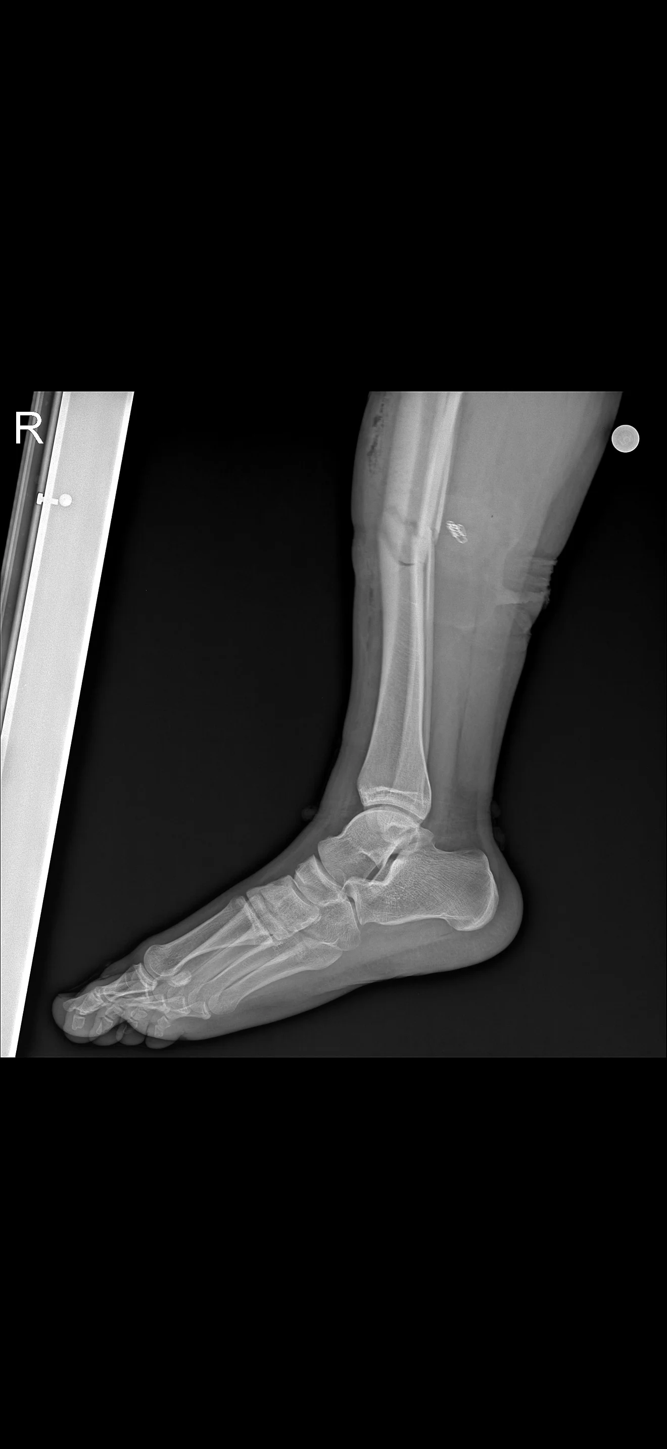
Kırılmış hocam devlet hastanesi ilgilenmiyor benimde bacağım kırıldı ödem için hiçbir şey yapmadılar özel hastaneye gittim bacağıma doktor baktı dedi hangi kendini bilmez doktor bu bacağı böyle alçıdan çıkarıp böyle bırakmış 1 adet walper ölçüsü aldılar walper taktılar ödem için 2 krem + 1 kan sulandırıcı verdi önerim özel bi hastaneye gitmeniz
 
Kırılmış hocam devlet hastanesi ilgilenmiyor benimde bacağım kırıldı ödem için hiçbir şey yapmadılar özel hastaneye gittim bacağıma doktor baktı dedi hangi kendini bilmez doktor bu bacağı böyle alçıdan çıkarıp böyle bırakmış 1 adet walper ölçüsü aldılar walper taktılar ödem için 2 krem + 1 kan sulandırıcı verdi önerim özel bi hastaneye gitmeniz
Özel hastanede de çok öpüyorlar hocam ya ne yapacağımı şaşırdım yani işten yorgun argın gelip koltuğa zıplayarak uzanmanın verdiği zevk 3ayı aşkın süredir bir kez bile yapamadım. Yapamıyorum…
 
Özel hastanede de çok öpüyorlar hocam ya ne yapacağımı şaşırdım yani işten yorgun argın gelip koltuğa zıplayarak uzanmanın verdiği zevk 3ayı aşkın süredir bir kez bile yapamadım. Yapamıyorum…
Valla benim bacağım 3 ay alçıda kaldı özeldeki doktor alçının 2. Ayında diz ve bilek bölümünün kesilmesi lazımdı dedi çünkü benim bacakta kireçlenmeyi geçtim 17 yaşındayım kemik erimesi bile başlamıştı verdiği kremler ile fln toparlanıyorum ama geçirtiyorlar fln ama malesef sağlık için gerekiyor bana ehliyetsiz biri çarptı yayaken bacak fena kırıldı
 

Ekler

  • IMG_7615.webp
    IMG_7615.webp
    102 KB · Hit: 38
Çok geçmiş olsun arkadaşın dediğine katılıyorum devletlerde özenli iş çok nadir oluyor özele gitmem şart diye düşünüyorum.
 
Çok geçmiş olsun arkadaşın dediğine katılıyorum devletlerde özenli iş çok nadir oluyor özele gitmem şart diye düşünüyorum.
Devletten yana bi kez daha denesem mi şansımı
 
  • Beğen
Reaksiyonlar: Oppi
31 temmuzda kaza yaptım
Motordayken araba vurması sonucu motordan uçup direkt olarak 100kg ola vücut ağırlığımla tahmini 100-105 derecelik geniş bi açıyla omurga hizasında yere çakıldım, ilk an kuyruk sokumumdan boynuma kadar uzanan ağrının şiddetiyle bağırmamdan ötürü sesimin kısılmasına giden bi ağrıyla belden aşağısını o anlık bi hissetmez gibi oldum, ortalama 3-5dakika sonra ayağa kalkabildim. Hastaneye gittim röntgen çekildi hiçbirşey yok denilip gönderildi
Ağrı şiddeti arttığı için tekrar beyin ve sinir cerrahına randevu alıp gittim, mr çekildi kuyruk sokumunun kemer altı kalan en uç noktasında tam görünmeyen ufak bir kırık,çatlak olduğu dıştan müdahale yapılamayacağı söylenip vitamin takviyesi verildi.

3ay aradan sonra halen 10-15dakikadan fazla oturamadığım ve ağrı çektiğim için randevu aldım(doktor2 ay içinde geçmezse gel demişti)
Gittim farklı bir doktora gitmem gerekti, o da beni artık biz bakamayız ortopediye git şeklinde yönlendirdi, ortopediye gittim ve muayene dahi etmeden ağrı olabilir diyerek 3 ay sonra gel dedi,

Dostlar tam kemerin altında kıçın ayrım noktasının orda bi gıcırtı var. Hareket ederken gırç gırç ediyor hava boşluğu gibi değişik bir hissi var ve tam o kısmı kaşırken sanki başkasının kıçını kaşıyor gibi hissediyorum %40-50ye kadar his kaybı da var maxxxxx en rahat koltukta 30dk sabit oturabilirl üstü gelmiyor.
Sizce farklı bir doktora görüneyim mi?
hocam daha kötüye gidebilir siz randevu almaya ve gitmeye devam edin
 
Dostlar tam kemerin altında kıçın ayrım noktasının orda bi gıcırtı var. Hareket ederken gırç gırç ediyor hava boşluğu gibi değişik bir hissi var ve tam o kısmı kaşırken sanki başkasının kıçını kaşıyor gibi hissediyorum %40-50ye kadar his kaybı da var maxxxxx en rahat koltukta 30dk sabit oturabilirl üstü gelmiyor.
Sizce farklı bir doktora görüneyim mi?

Kardeşim ilk önce geçmiş olsun. Şu kısımda çok fena güldüm Allah affetsin. :D

İlk önce Ortopedi ve Travmatoloji bölümüne gideceksin. Normal Ortopedi sadece kemiklere falan bakıyor, için Travmatoloji girince adı üstünde travma olan bölgelere bakıyor. Eğer sıkıntı kuyruk sokumundaysa bir eczacıya ya da medikale gidip basur yastığı alabilirsin, iyi gelir diye düşünüyorum.
 
31 temmuzda kaza yaptım
Motordayken araba vurması sonucu motordan uçup direkt olarak 100kg ola vücut ağırlığımla tahmini 100-105 derecelik geniş bi açıyla omurga hizasında yere çakıldım, ilk an kuyruk sokumumdan boynuma kadar uzanan ağrının şiddetiyle bağırmamdan ötürü sesimin kısılmasına giden bi ağrıyla belden aşağısını o anlık bi hissetmez gibi oldum, ortalama 3-5dakika sonra ayağa kalkabildim. Hastaneye gittim röntgen çekildi hiçbirşey yok denilip gönderildi
Ağrı şiddeti arttığı için tekrar beyin ve sinir cerrahına randevu alıp gittim, mr çekildi kuyruk sokumunun kemer altı kalan en uç noktasında tam görünmeyen ufak bir kırık,çatlak olduğu dıştan müdahale yapılamayacağı söylenip vitamin takviyesi verildi.

3ay aradan sonra halen 10-15dakikadan fazla oturamadığım ve ağrı çektiğim için randevu aldım(doktor2 ay içinde geçmezse gel demişti)
Gittim farklı bir doktora gitmem gerekti, o da beni artık biz bakamayız ortopediye git şeklinde yönlendirdi, ortopediye gittim ve muayene dahi etmeden ağrı olabilir diyerek 3 ay sonra gel dedi,

Dostlar tam kemerin altında kıçın ayrım noktasının orda bi gıcırtı var. Hareket ederken gırç gırç ediyor hava boşluğu gibi değişik bir hissi var ve tam o kısmı kaşırken sanki başkasının kıçını kaşıyor gibi hissediyorum %40-50ye kadar his kaybı da var maxxxxx en rahat koltukta 30dk sabit oturabilirl üstü gelmiyor.
Sizce farklı bir doktora görüneyim mi?
Bence bu işin şakası olmaz arkadaşın da dediği gibi bir an önce özel doktora gidip göstermen lazım sağlığın paradan önemli değil ama araştırıp iyi bir özel hastaneye git devletteki gibi bakıp geçiştirecek bir yer olmasın
 
geçmiş olsun allah korumuş vefat edebilirdiniz
abimde kaza geçirmişti direkt özel hastaneye yatırdık çok iyi ilgilendiler sağlık bu şakaya gelmez bence durumunuz ciddi özel bir hastaneye gidiniz
 
Yeni mesajlar Yeni Konu Aç  

   

SON KONULAR

Çevrim içi yöneticiler

Forum istatistikleri

Konular
1,211,380
Mesajlar
10,965,627
Üyeler
195,613
Son üye
volkan1061
Geri
Top