Ayak bileği röntgeni çatlak nerededir?

Katılım
23 Haziran 2024
Mesajlar
151
Reaksiyon skoru
42
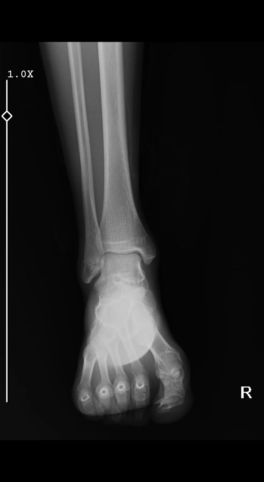
Doktor bilekte çatlak olduğunu söyledi hangi kemikte olduğunu merak ediyorum bilenler yorumlayabilir mi?
1000004242.webp
 
başka açıdan yok mu? tıbbi görüntüleme okudum göremedim bende
 
gemini sordum röntgen ni

Paylaştığınız röntgen görüntüsü sağ ayak bileği ve ayağın ön-arka (AP) görünümünü göstermektedir.
Bir röntgen görüntüsü üzerinden kesin tanı koymak, özellikle de küçük çatlakları (fissür) tespit etmek uzmanlık gerektirir. Ancak bu görüntüde dikkat çeken bir bölge bulunmaktadır:
Gözlemlenen Kritik Bölge
Görüntüde sağ fibula (serçe parmağı tarafındaki ince kemik) alt ucunda (dış mallevol), eklem hattına yakın bir bölgede bir düzensizlik veya hat göze çarpmaktadır. Bu durum bir kırık veya çatlak belirtisi olabilir.
Önemli Hatırlatmalar
Radyoloji Raporu: Röntgenler tek bir açıdan yeterli olmayabilir. Genellikle yan ve çapraz görüntülerle birlikte değerlendirilir. Kesin sonuç için radyoloji uzmanının hazırladığı raporu incelemeniz en doğrusudur.
Fiziksel Belirtiler: Çatlak olan bölgede genellikle dokunmakla artan şiddetli hassasiyet, şişme ve morarma görülür. Üzerine basmakta zorlanıyor musunuz?
Ne Yapmalısınız?
Üzerine Basmayın: Eğer henüz bir doktorla görüşmediyseniz, ayağınızın üzerine yük vermekten kaçının.
Buz ve Yükseklik: Şişliği kontrol altına almak için ayağınızı kalp seviyesinin üzerinde tutun ve soğuk uygulama yapın.
Doktorunuza Danışın: Bu röntgeni isteyen Ortopedi uzmanı, muayene bulgularıyla bu görüntüyü birleştirerek size kesin tanıyı koyacaktır.
 
gemini sordum röntgen ni

Paylaştığınız röntgen görüntüsü sağ ayak bileği ve ayağın ön-arka (AP) görünümünü göstermektedir.
Bir röntgen görüntüsü üzerinden kesin tanı koymak, özellikle de küçük çatlakları (fissür) tespit etmek uzmanlık gerektirir. Ancak bu görüntüde dikkat çeken bir bölge bulunmaktadır:
Gözlemlenen Kritik Bölge
Görüntüde sağ fibula (serçe parmağı tarafındaki ince kemik) alt ucunda (dış mallevol), eklem hattına yakın bir bölgede bir düzensizlik veya hat göze çarpmaktadır. Bu durum bir kırık veya çatlak belirtisi olabilir.
Önemli Hatırlatmalar
Radyoloji Raporu: Röntgenler tek bir açıdan yeterli olmayabilir. Genellikle yan ve çapraz görüntülerle birlikte değerlendirilir. Kesin sonuç için radyoloji uzmanının hazırladığı raporu incelemeniz en doğrusudur.
Fiziksel Belirtiler: Çatlak olan bölgede genellikle dokunmakla artan şiddetli hassasiyet, şişme ve morarma görülür. Üzerine basmakta zorlanıyor musunuz?
Ne Yapmalısınız?
Üzerine Basmayın: Eğer henüz bir doktorla görüşmediyseniz, ayağınızın üzerine yük vermekten kaçının.
Buz ve Yükseklik: Şişliği kontrol altına almak için ayağınızı kalp seviyesinin üzerinde tutun ve soğuk uygulama yapın.
Doktorunuza Danışın: Bu röntgeni isteyen Ortopedi uzmanı, muayene bulgularıyla bu görüntüyü birleştirerek size kesin tanıyı koyacaktır.
Teşekkürler
 
Geri
Top